Exames mostraram que cistos no cérebro do homem eram larvas parasitárias de tênia que haviam se estabelecido e causado uma infecção chamada neurocisticercose.
Um homem da Flórida com enxaquecas em crescente piora estava com larvas parasitárias de tênia em seu cérebro, de acordo com um relatório publicado este mês no American Journal of Case Reports. Os médicos dizem acreditar que a infecção por tênia teve origem no hábito de comer bacon malcozido.
O homem não identificado, de 52 anos, inicialmente procurou um médico porque suas enxaquecas haviam piorado subitamente ao longo de quatro meses. Elas estavam ocorrendo quase semanalmente, eram muito dolorosas e não estavam respondendo aos medicamentos para enxaqueca, de acordo com o relatório.
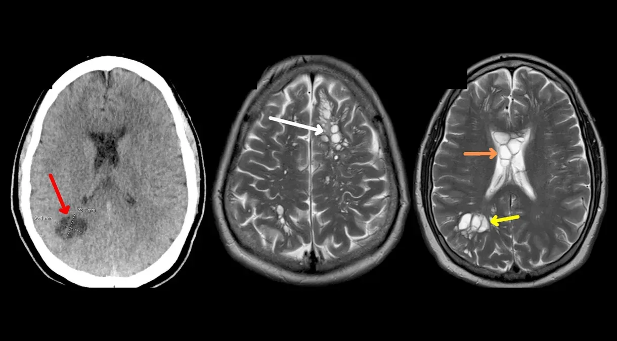
O médico pediu uma tomografia computadorizada, que mostrou múltiplos cistos – sacos cheios de líquido – em todo o seu cérebro. Suspeitando inicialmente que ele poderia ter uma rara condição neurológica chamada cistos neurogliais congênitos, os médicos o internaram em um hospital em Orlando para consultar um neurocirurgião.
Outros exames laboratoriais e de imagem no hospital mostraram que os cistos eram larvas parasitárias de tênia que haviam se estabelecido em seu cérebro e causado uma infecção chamada neurocisticercose, segundo o relatório.
A cisticercose é uma infecção parasitária dos tecidos que ocorre quando uma pessoa engole ovos de tênia das fezes de uma pessoa que tem tênia intestinal. Os ovos de tênia então se transformam em cistos larvais que podem infectar o cérebro, músculos ou outros tecidos, de acordo com os Centros de Controle e Prevenção de Doenças (CDC) dos EUA.
A neurocisticercose é a forma da condição em que as larvas infectam o cérebro. É uma das principais causas de convulsões em adultos em países de baixa renda com saneamento deficiente e criação livre de porcos, de acordo com os CDC.
Neste caso, o homem não tinha fatores de risco típicos: ele não viajou para áreas de alto risco e não teve contato próximo com porcos ou morava em uma área com saneamento deficiente. No entanto, ele admitiu ter o hábito de comer “bacon levemente cozido e não crocante durante a maior parte de sua vida”, de acordo com o relatório.
Os pesquisadores concluíram que o homem provavelmente contraiu o parasita através da “autoinfecção”. Ele pode ter adquirido uma tênia intestinal, chamada teníase, ao comer bacon malcozido que continha cistos larvais e, em seguida, após lavar as mãos de forma inadequada, ingerido os ovos de tênia que ele havia excretado nas fezes, levando à neurocisticercose.
“Pode-se apenas especular, mas dada a predileção de nosso paciente por carne de porco malcozida e sua história benigna de exposição, nós imaginamos que sua cisticercose tenha sido transmitida via autoinfecção após uma lavagem de mãos inadequada depois que ele contraiu teníase de seus hábitos alimentares”, disse o relatório.
O homem foi tratado com esteroides e agentes antiparasitários. Suas dores de cabeça melhoraram, e os cistos em seu cérebro diminuíram, segundo o relatório.
A neurocisticercose é rara nos Estados Unidos e pode ser prevenida, de acordo com os CDC. As pessoas podem evitar contrair teníase intestinal cozinhando carne a temperaturas seguras. E a cisticercose pode ser prevenida com uma lavagem adequada das mãos após o uso do banheiro e antes de manusear alimentos.
Por Mira Cheng, da CNN



.gif)